Durante le prime fasi della vita, il bambino vive un periodo di grandi cambiamenti. I primi mesi sono pieni di nuove scoperte che mettono l’infante a dura prova. Il sostegno dei genitori e della famiglia è fondamentale affinché il neonato cresca in un ambiente accogliente e comprensivo dei suoi bisogni. Il piccolo dovrà trovarsi ad affrontare i primi fastidi e dolori, dovrà prendere consapevolezza del proprio corpo e del mondo che lo circonda. Un compito non facile e impegnativo. È per questo che spesso piangerà o cercherà consolazione nel seno materno. O nel ciuccio. Strumento fondamentale per molti genitori che però, usato con troppa frequenza o per troppo a lungo, può causare problemi come l’irritazione da ciuccio. Tuttavia, esistono anche altre condizioni che possono interessare la bocca e le mani, a volte con manifestazioni simili ma cause e implicazioni completamente diverse, come i Segni di Russell, legati a disturbi alimentari ben più complessi.
Il Ciuccio: Funzioni, Benefici e Prime Sfide per il Neonato
L’istinto di suzione negli esseri umani, nei primi mesi di vita, è innato. Quando si analizza la funzione del ciuccio si parla di suzione non nutritiva ovvero ciucciare non ha il solo scopo di alimentarsi ma serve anche e soprattutto a soddisfare il bambino e a tranquillizzarlo. La suzione ha una funzione consolatoria e analgesica, quindi aiuta i più piccoli ad affrontare emozioni e piccoli dolori quotidiani. Molti pediatri, pur concordi nel consigliare l’utilizzo del ciuccio (dai 2 mesi fino e non oltre i 24), invitano però a indagare prima le cause del fastidio che ha generato il pianto per poterne eliminare la causa.

Secondo le ultime ricerche e le raccomandazioni pubblicate dalla AAP (la prestigiosa American Academy of Pediatrics, un riferimento importante per tutti i pediatri), l’uso del ciuccio è uno dei fattori che riduce il rischio di SIDS o Sindrome della morte improvvisa del lattante. La suzione del ciuccio ha un effetto calmante sul neonato (proprio per questo in inglese il ciuccio viene chiamato “pacifier”, dal verbo to pacify che significa calmare, tranquillizzare) e può contribuire a migliorare le capacità di deglutizione.
Un problema comune per i genitori è che i succhietti per bambini sembrano avere il magico potere di sparire - letteralmente - dal lettino, ma anche dal pavimento. È un consiglio "livello pro": non teneteli nel lettino perché potrebbero cadere o finire sotto la schiena del piccolo, che si sveglierebbe per il fastidio. Per le pelli più sensibili, sono stati studiati e realizzati ciucci specifici, come MAM Air Night, i cui fori di ventilazione lasciano passare l’aria, così la pelle resta asciutta e non si infiamma. Un'altra opzione è MAM Supreme Night, che rappresenta il perfetto connubio tra Perfect e Air, consentendo un sano sviluppo del cavo orale e preservando le pelli sensibili dalle irritazioni grazie ai suoi ampi fori.
Irritazione da Ciuccio e la Delicata Pelle del Neonato
La pelle dei neonati è un organo sensibile e delicato, occorre molta attenzione affinché rimanga in salute e ben idratata. Spesso però l’utilizzo prolungato del ciuccio può provocare nel bambino qualche fastidio intorno alla bocca: la cosiddetta irritazione da ciuccio. Un uso troppo frequente del ciuccio, tra l’altro, può provocare, con il passare dei mesi, una vera e propria dipendenza nel bambino che vede in questo oggetto un sostegno alla sua crescita emotiva e un viatico per tranquillizzarsi. Utilizzarlo per troppo tempo poi può anche causare altri tipi di fastidi come l’irritazione da ciuccio.
In accordo con il pediatra, è fondamentale studiare la soluzione migliore per il proprio bambino. Qualora invece ci si trovi già di fronte a un’irritazione, si può applicare un balsamo lenitivo per idratare e proteggere la pelle. Nei laboratori La Roche-Posay nasce CICAPLAST, una varietà di prodotti polivalenti e ipoallergenici che aiutano a lenire gli arrossamenti e a riparare e proteggere la pelle e la sua funzione barriera. La combinazione di agenti in essi contenuti ostacola l'adesione batterica e favorisce un miglioramento della pelle anche del neonato. Per la pelle a tendenza atopica, si può scegliere Lipikar SYNDET AP+, una crema detergente adatta anche alle pelli più sensibili dei lattanti che lenisce e idrata.
Ciuccio, Pollice e Comportamenti Legati allo Stress nei Bambini
Crescendo, i bambini acquisiscono diverse capacità. Alcune, come il controllo delle urine e delle feci, dipendono soprattutto dal livello di maturazione del sistema nervoso. Altre, come il comportamento appropriato da tenere in casa e a scuola, sono il risultato della complicata interazione tra lo sviluppo fisico e intellettivo (cognitivo) del bambino, la salute, il temperamento e il rapporto con i genitori, le persone che si occupano di lui e gli insegnanti. Altri comportamenti, come succhiarsi il pollice, si sviluppano quando i bambini cercano modi per affrontare lo stress. Alcuni comportamenti che aiutano i bambini ad affrontare lo stress comprendono: succhiare il pollice, mangiarsi le unghie e, talvolta, sbattere la testa.
Succhiare il pollice (o altre dita) o il ciuccio costituisce un comportamento normale nella prima infanzia; la maggior parte dei bambini interrompe tale abitudine entro 1-2 anni, ma alcuni la mantengono in età scolare. Succhiare occasionalmente il pollice o il ciuccio è normale nei momenti di stress, ma farlo abitualmente dopo i 5 anni può alterare la forma del palato, causare disallineamento dei denti e prese in giro da parte degli altri bambini. Talvolta i bambini che succhiano persistentemente il pollice o il ciuccio possono dover essere esaminati da un operatore sanitario specializzato nel comportamento.
Alla fine tutti i bambini smettono di succhiarsi il pollice o di usare il ciuccio. I genitori devono intervenire solo se consigliati dal dentista o se ritengono che la suzione del pollice determini problemi a livello sociale. I genitori devono incoraggiare dolcemente il bambino e fargli capire perché è giusto interrompere questa abitudine. Quando il bambino mostra di voler smettere, come primo passo è utile ricordargli con calma il suo proposito. Successivamente, si possono mettere direttamente sul pollice del bambino alcune ricompense simboliche, come un cerotto colorato o disegnando una stella sul dito con un pennarello non tossico. Si possono adottare ulteriori misure, come usare una protezione di plastica sul pollice oppure applicare sull’unghia una sostanza amara non tossica. Tuttavia, nessuna di queste misure deve essere usata contro la volontà del bambino.
Mangiarsi o strapparsi le unghie sono comportamenti comuni nei bambini piccoli. Questa abitudine scompare generalmente crescendo, ma può essere correlata a stress e ansia. Ai bambini motivati si può insegnare a sostituire questa abitudine con altre (ad esempio, roteare una matita). Il comportamento desiderato può essere rafforzato dando al bambino maggiori ricompense se riesce a evitare il comportamento sbagliato.
Battere il capo e dondolare ritmicamente sono gesti comuni nei bambini sani. Pur allarmando i genitori, i bambini non sembrano manifestare un senso di angoscia e in realtà sembrano trarre conforto da tali movimenti. Solitamente, i bambini smettono di dondolarsi, ruotare e battere il capo tra i 18 mesi e i 2 anni, ma le stesse azioni ripetitive si osservano talvolta anche in bambini più grandi e negli adolescenti. Sebbene i bambini non si feriscano quasi mai nell’assumere tali comportamenti, questo rischio (e il rumore) può essere ridotto tenendo il lettino lontano dal muro, applicando un’imbottitura al suo interno, togliendo le rotelle o ponendo sotto di esse dei tappeti di protezione.
Il ciuccio: come aiutare i bambini a separarsene
La Gestione del Ciuccio e i Problemi Comportamentali
Il bambino che continua a buttare il ciuccio fuori dalla culla prima di andare a dormire e poi a gridarlo è un esempio di come i più piccoli imparino rapidamente che le loro azioni provocano determinate reazioni da parte di coloro che li circondano. Se buttano il ciuccio fuori dalla culla prima di andare a dormire o al momento del pisolino e piangono o urlano per averlo, i genitori in genere andranno a prenderlo per loro. Esistono diversi modi per gestire la situazione. Il modo più semplice è semplicemente mettere diversi ciucci in un angolo della culla del bambino. In questo modo c'è sempre un ciuccio di riserva a portata di mano quando uno viene lanciato o perso.
Un'altra scelta è aspettare che il bambino si addormenti e poi restituirgli il ciuccio. La maggior parte dei genitori, tuttavia, ha difficoltà a non tornare mai a restituire il ciuccio al proprio bambino, poiché sanno che il loro bambino potrebbe avere difficoltà ad addormentarsi senza di esso. Una scelta migliore è quella di adottare un approccio di via di mezzo. Concedere al bambino il beneficio del dubbio la prima volta, ma aiutarlo anche a capire le conseguenze se continua a fare la stessa cosa. In altre parole, recuperare subito il ciuccio del bambino la prima volta che viene lanciato, ma fargli sapere che se lo lancia di nuovo, non lo riceverà. Se lo lancia di nuovo, rimetterlo nella culla una volta che si è addormentato.
Altri comportamenti ancora si sviluppano in risposta allo stile genitoriale. I problemi comportamentali e dello sviluppo possono diventare talmente gravi da minare i rapporti normali fra il bambino e gli altri o interferire con lo sviluppo emotivo, sociale e intellettivo. Lodi e ricompense possono favorire un comportamento positivo. Talvolta i genitori finiscono per prestare attenzione ai propri figli solo in caso di comportamenti inappropriati, con conseguenze negative se si tratta dell’unica attenzione rivolta loro. Poiché la maggior parte dei bambini preferisce attirare l’attenzione con un comportamento inadeguato piuttosto che non ricevere alcuna attenzione, i genitori devono creare ogni giorno momenti dedicati alle interazioni positive con il bambino per evitare aumenti dei comportamenti inappropriati.
I problemi dell’interazione tra genitore e bambino sono difficoltà nei rapporti tra un bambino e i suoi genitori, che possono insorgere nei primi mesi di vita. La gravidanza o il parto difficili o le difficoltà nell’allattamento, la depressione post-partum che interessa uno dei genitori, problemi di coppia tra i genitori, inadeguato sostegno sociale o emotivo ai genitori da parte di familiari o amici, il lavoro, l’alloggio o altre difficoltà finanziarie dei genitori, oppure uno stile genitoriale che non favorisce una relazione positiva tra genitore e bambino, possono rendere il rapporto teso. I primi giorni da genitori sono stressanti per la maggioranza delle persone, a causa degli orari imprevedibili a cui il bambino mangia o dorme. Rapporti tra genitore e figlio non buoni possono rallentare lo sviluppo delle capacità mentali e sociali del bambino e causare un rallentamento della crescita e dell’aumento di peso (ritardo della crescita).
Un circolo vizioso o schema comportamentale circolare è un ciclo nel quale una risposta negativa (collera) a un comportamento negativo (inappropriato) del bambino da parte di un genitore o di chi si occupa del bambino provoca ulteriore comportamento negativo da parte del bambino, che porta a continue risposte negative da parte del genitore o della persona che si occupa del bambino. Per rompere il circolo vizioso, i genitori dovrebbero imparare a ignorare il comportamento inappropriato quando non ha un influsso negativo sugli altri, come nel caso di accessi d’ira o del rifiuto di mangiare. Se un problema comportamentale persiste dopo 3-4 mesi, i medici possono raccomandare una valutazione della salute comportamentale.
La tecnica del time-out è più efficace se i bambini sono consapevoli di aver compiuto azioni inappropriate e interpretano come punizione la negazione dell’attenzione. Di solito, prima dei 2 anni d’età i bambini non capiscono che negare loro l’attenzione è una punizione collegata a un comportamento sbagliato. Un time-out consiste nel far trascorrere al bambino alcuni minuti da solo in un luogo con poche fonti di stimolazione o distrazione (un angolo o una stanza che non siano bui o spaventosi e senza televisore, dispositivi digitali o giocattoli). La durata del time-out dovrebbe essere di 1 minuto per ciascun anno di età (per un massimo di 5 minuti).
I Segni di Russell e i Disturbi Alimentari: Una Distinzione Cruciale
Mentre l'uso prolungato del ciuccio può influenzare la bocca e la sua conformazione, è fondamentale distinguere questa problematica dai "Segni di Russell", che, nonostante il richiamo fonetico a "nocche" e "bocche rovinate", sono una manifestazione fisica di condizioni ben più gravi: i disturbi alimentari.
I disturbi alimentari (DCA) sono condizioni patologiche caratterizzate da comportamenti alimentari disfunzionali e preoccupazioni eccessive riguardo al peso e all'immagine corporea. I DCA possono avere conseguenze gravi sulla salute fisica e mentale di chi ne soffre. I più conosciuti sono anoressia, bulimia e binge eating ma, negli ultimi anni, sono emersi nuovi DCA come l’ortoressia, la vigoressia, iperfagia notturna e drunkoressia. Riconoscere i primi segni di un disturbo dell'alimentazione è fondamentale per aiutare il paziente a ritrovare il suo benessere fisico e psicologico.

I Segni di Russell: Un Indicatore della Bulimia Nervosa
I segni di Russell sono uno degli effetti collaterali del vomito autoindotto e possono essere un indicatore chiave della bulimia nervosa. Si tratta della presenza di callosità, abrasioni, cicatrici o ispessimenti cutanei visibili sulle nocche o sul dorso delle mani, solitamente sulle dita dominanti. Questo fenomeno è dovuto all’atto ripetuto di introdurre volontariamente le dita in gola per provocare il vomito, pratica che comporta uno sfregamento continuo della pelle contro i denti. Con il tempo, questo gesto produce lesioni caratteristiche che possono essere notate a occhio nudo. A volte il Russell’s Sign può essere accompagnato da arrossamenti, croste o piccole ferite fresche se il comportamento è particolarmente recente o compulsivo. La comparsa del segno di Russell indica una fase più avanzata del disturbo alimentare perché ci rivela che la persona ha messo in atto i comportamenti purgativi con una certa frequenza e soprattutto persistenza nel tempo.

Il termine "segno di Russell" deriva dal nome dello psichiatra britannico Gerald Russell, noto soprattutto per aver individuato e descritto per primo la bulimia nervosa. Titolare della cattedra di psichiatria presso il Royal Free Hospital di Londra, osservò che alcuni pazienti avevano l’abitudine di autoindursi il vomito dopo le abbuffate. Questi comportamenti, che non si adattavano alla diagnosi tradizionale di anoressia nervosa, lo spinsero a identificare una nuova condizione che chiamò bulimia nervosa.
Altri Indicatori Fisici e Comportamentali della Bulimia Nervosa
Spesso si parla dei segnali precoci legati all’anoressia nervosa, che tendono a essere più facilmente osservabili, mentre si parla molto meno di quelli specifici della bulimia, che invece risultano generalmente più sfumati e meno evidenti. Questo accade perché, a differenza di quanto avviene nell’anoressia, le persone che soffrono di bulimia nervosa mantengono più frequentemente un peso corporeo nella norma o comunque non presentano cali ponderali così drammatici da attirare immediatamente l’attenzione. Inoltre, chi soffre di bulimia tende a nascondersi accuratamente durante le abbuffate (che avvengono fuori dai pasti) e durante le condotte compensatorie di eliminazione, rendendo difficile osservare direttamente i comportamenti disfunzionali. Anche durante i pasti in contesti sociali, le persone bulimiche appaiono spesso perfettamente normali, senza manifestare evidenti segni di disagio o comportamenti anomali. Proprio per queste ragioni, è fondamentale conoscere altri segnali a cui prestare attenzione:
- Parotidomegalia: L’ingrossamento delle ghiandole salivari, in particolare delle parotidi, è un altro segnale esterno che può essere osservato in chi soffre di bulimia. È causata dalla stimolazione continua delle ghiandole durante gli episodi di vomito ripetuto, che porta a infiammazione cronica e aumento volumetrico. Clinicamente, si manifesta con un gonfiore visibile bilateralmente a livello delle guance, davanti e sotto le orecchie, dando al volto un aspetto arrotondato, a volte definito come “a forma di luna piena”.
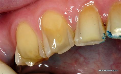
- Erosioni dentali: Uno degli effetti collaterali più caratteristici della bulimia, e uno dei primi a essere notato dai professionisti odontoiatrici, è l’erosione dello smalto dentale. L’esposizione ripetuta dei denti agli acidi gastrici, durante il vomito autoindotto, porta progressivamente alla demineralizzazione dello smalto, con conseguente assottigliamento, fragilità e aumento della sensibilità dentale. Le erosioni si localizzano principalmente sulle superfici interne degli incisivi superiori, ma possono estendersi a tutta l’arcata dentaria nei casi più gravi. Clinicamente, i denti appaiono opachi, consumati, con bordi irregolari e talvolta di colore giallastro per l’esposizione della dentina sottostante. I soggetti possono lamentare dolore o fastidio quando assumono cibi o bevande molto calde, fredde o zuccherate.
- Dita macerate o con lesioni: L’osservazione attenta delle mani può rivelare, oltre al Russell’s Sign, dita arrossate, irritate, con pelle macerata o screpolata. Questi segni derivano sia dal contatto ripetuto con acidi gastrici durante il vomito, sia dall’azione traumatica meccanica delle dita introdotte nella gola. La pelle può apparire assottigliata, ruvida, desquamata e, nei casi più gravi, possono essere presenti piccoli tagli o infezioni locali.
- Aspetto facciale edematoso: Il gonfiore del viso è un altro segno clinico osservabile nei soggetti con bulimia, anche se meno specifico. Questo edema può essere dovuto a vari fattori: dalla ritenzione idrica legata agli squilibri elettrolitici, all’infiammazione delle ghiandole salivari, alla risposta sistemica del corpo agli episodi di vomito ripetuto e al conseguente stress fisiologico. Il volto può apparire gonfio soprattutto nelle aree periorbitali (intorno agli occhi) e alle guance, conferendo un aspetto arrotondato e a volte stanco o sofferente.
- Alterazioni della pelle: In generale, i soggetti bulimici presentano spesso una pelle che tradisce segnali indiretti di sofferenza sistemica: disidratazione cronica, deficit nutrizionali e squilibri elettrolitici si riflettono sulla qualità cutanea. La pelle può risultare secca, pallida, screpolata, con una maggiore tendenza alla formazione di ragadi e lesioni superficiali. Inoltre, nei casi più gravi, possono comparire manifestazioni come lividi frequenti, dovuti a una fragilità capillare aumentata.
- Cambiamenti drastici e ripetuti del peso: Un altro segnale clinico rilevante è rappresentato dalle fluttuazioni rapide e significative del peso corporeo. Nella bulimia, il soggetto può alternare periodi di aumento ponderale dovuto ad abbuffate non compensate, a periodi di calo repentino di peso in seguito a pratiche di purga intensiva o di restrizione alimentare severa.
- Rottura di capillari del volto o degli occhi: Gli sforzi intensi e ripetuti per indurre il vomito possono provocare la rottura di piccoli capillari, portando alla comparsa di petecchie sul volto, soprattutto nella regione periorbitale e sulla sclera degli occhi.
- Afte o lesioni orali: Le lesioni della mucosa orale sono frequenti nei soggetti bulimici a causa del continuo passaggio degli acidi gastrici e delle microtraumatizzazioni da vomito indotto. Le afte, piccole ulcere dolorose, possono comparire su labbra, guance interne e palato molle, rendendo dolorosa la masticazione e la deglutizione.

Approccio Terapeutico ai Disturbi Alimentari e ai Segni di Russell
La strategia più efficace per trattare i segni di Russell non si limita alla cura delle lesioni fisiche ma si concentra sulla causa principale del problema ovvero il disturbo alimentare sottostante che richiede un approccio terapeutico multidisciplinare. Esistono diverse soluzioni per alleviare i calli o le ferite aperte su mani e nocche. Un trattamento consigliato per migliorare la guarigione e ridurre i calli è l'uso di prodotti per la pelle contenenti urea.
Oltre alla terapia farmacologica, che spesso prevede l'utilizzo di antidepressivi per migliorare l'umore e ridurre le abbuffate, un ruolo fondamentale è rivestito dalla psicoterapia e in particolare dalla terapia cognitivo comportamentale. Questo approccio ci permette di comprendere le cause profonde del disturbo, di imparare a gestire le emozioni intense e a sviluppare comportamenti alimentari sani. Se si sente la necessità di parlare con un terapeuta, è consigliabile rivolgersi a un centro medico specializzato.