«Eccolo! L’ho sentito!» dice emozionata Elisa, incinta di qualche settimana, mentre ascolta per la prima volta il battito cardiaco della sua bambina durante una visita ostetrica. Esiste un momento più emozionante e carico di aspettative come questo? Il legame che si crea tra la futura madre e il bambino attraverso l'ascolto del ritmo cardiaco rappresenta un pilastro psicologico fondamentale della gravidanza, trasformando un’astrazione in una presenza viva e pulsante. Tuttavia, dietro questa emozione si cela una complessa realtà biologica che richiede comprensione, monitoraggio corretto e, talvolta, indagini specialistiche mirate.

La cronobiologia del cuore fetale: evoluzione e frequenza
Per individuare il momento esatto in cui si inizia a sentire il battito fetale dovremmo risalire alla quinta-sesta settimana di gravidanza. In questa fase embrionale, il cuore del feto batte a 100-110 bpm intorno alla 6^ settimana ed è possibile rilevarne l’attività attraverso l’ecografia transvaginale. Nelle due settimane successive la frequenza del battito fetale raggiunge valori compresi tra i 130-160 bpm.
Un importante studio dell’Università di Leeds, pubblicato su «Nature» nel 2017, ci accompagna in un vero e proprio viaggio alla scoperta delle trasformazioni nella struttura del cuore, dalla 12^ alla 20^ settimana, spiegandoci come ciò modifichi anche l’intensità del battito fetale. Infatti, mentre nelle prime settimane la frequenza cardiaca fetale si aggira sui 100-110 battiti al minuto (bpm), intorno alla 10^ settimana aumenta fino ai 150-160 bpm, per diminuire dalla 20^ settimana in poi e stabilizzarsi sui 140 bpm.
E proprio nel periodo dalla 12^ alla 20^ settimana l’organizzazione del cuore presenta i cambiamenti più evidenti, le cellule si “specializzano”, si organizzano e iniziano a comunicare tra loro, ed è questo l’evento cruciale che spiega l’aumento della frequenza cardiaca e il battito fetale più vigoroso.
Il monitoraggio tra consapevolezza e tecnologia portatile
Talvolta può capitare di non riuscire a sentire il battito immediatamente, oppure di osservare per un breve periodo una frequenza di 10-15 battiti in più o in meno. Si tratta di situazioni del tutto normali e transitorie, per cui niente paura! A volte, se troppo in anticipo rispetto alla scoperta della gravidanza, un’ecografia può non rilevare immediatamente il battito cardiaco fetale e allo stesso modo può capitare di non sentirlo subito.
Negli ultimi anni, non solo la diagnostica prenatale è diventata sempre più sofisticata ma è possibile approfondire meglio le situazioni considerate più a rischio o da tenere sotto controllo. Va però tenuto conto anche del fatto che la grande emozione che accompagna i giorni e le settimane in attesa del parto, necessita di continue conferme, di quei segnali che vogliono dire “va tutto bene”. Anche per questo hanno avuto un enorme riscontro alcuni strumenti portatili chiamati fetal doppler, che consentono di ascoltare il battito cardiaco fetale sfruttando gli ultrasuoni.
Alessia, una ragazza che ho seguito per una consulenza genetica prenatale durante la sua seconda gestazione, mi ha raccontato che si sente più sicura se ha la possibilità di ascoltare il battito cardiaco del suo bambino perché l’esperienza della cardiopatia congenita del suo primo figlio, scoperta in gravidanza, l’aveva profondamente segnata. I fetal doppler sono strumenti validi, ma vanno presi con il beneficio del dubbio, consapevoli del fatto che il loro funzionamento dipende da caso a caso: alcune mamme riescono ad ascoltare il battito già intorno alla 12^ settimana, altre no; non esiste una regola precisa, anche perché non parliamo di doppler professionali, come quelli in dotazione ai medici. Il monitoraggio del battito fetale è senz’altro molto utile, ma i fetal doppler vanno usati con giudizio, e in caso di dubbi è importante rivolgersi sempre allo specialista.
Cardiotocografia (monitor fetali) | Biomedical Engineers TV |
È possibile, come nel caso dei movimenti fetali, sentire il battito fetale, senza l’aiuto di strumenti? In effetti è possibile, in particolare dopo la 23^ settimana, quando il feto sarà in grado di percepire i suoni e le voci, che imparerà a riconoscere, rispondendo con i movimenti.
Le anomalie del ritmo e il ruolo dell'ecocardiografia fetale
Quando la frequenza cardiaca è al di fuori dei valori considerati normali, quindi oltre i 10-15 battiti in più o in meno di cui abbiamo già parlato, è fondamentale valutare se l’evento è transitorio o se si tratta di un’anomalia nel battito fetale. Le aritmie sono tra le più comuni anomalie del battito fetale, e si manifestano principalmente con tachicardia e bradicardia.
Un lutto perinatale non è una pratica da archiviare, un episodio di cui è sufficiente non parlare più per dimenticarsene, e non è più o meno duro da affrontare in base alla settimana di gestazione. Per questo motivo, la precisione diagnostica diventa un atto di cura profondo.
L'ecocardiografia fetale è un esame che consente di studiare l'anatomia e la funzionalità cardiaca del bambino quando si trova ancora nel grembo materno e ha lo scopo di individuare eventuali malformazioni e patologie congenite a carico del cuore e dei grandi vasi. Non si tratta di un normale controllo di routine, ma viene indicata dal ginecologo quando vengono riscontrati particolari rischi fetali o materni. L’ecocardiografia fetale viene effettuata da uno specialista con particolare esperienza nell’ambito neonatale, tramite l’impiego di un ecografo con elevate prestazioni.

Caratteristiche tecniche dell'ecocardiografia avanzata
L’ecocardiografia fetale è un esame diagnostico molto simile all’ecografia fetale (esame di routine effettuato in gravidanza) che consente al medico di analizzare in maniera approfondita la struttura e la funzione del cuore del bambino. Inoltre, questo esame permette anche la visualizzazione del flusso sanguigno a livello del cuore del feto.
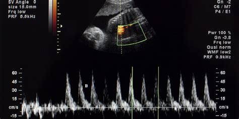
Come tutti gli esami ecografici, per esempio l’ecocardiocolordoppler, anche l’ecocardiografia utilizza gli ultrasuoni, onde sonore ad alta frequenza che colpiscono le strutture cardiache del feto e rimbalzano, tornando al macchinario che le rileva. Grazie all’ecocardiogramma, quindi, verranno evidenziate le camere cave del cuore, gli atri e i ventricoli, responsabili del riempimento di sangue, i setti, le strutture fibrose che separano le camere cardiache, le valvole, strutture che direzionano il flusso di sangue ed evitano che fluisca all’indietro.
L’ecocardiografia fetale fornisce informazioni anche sulla direzione e la velocità del flusso sanguigno attraverso il cuore. In particolare, in un’ecografia color Doppler, frequenze diverse degli ultrasuoni corrispondono a diversi colori sull’immagine ecografica. Questi colori, che variano dal blu al rosso, mostrano la velocità e la direzione del flusso sanguigno in tempo reale. L’esecuzione e l’interpretazione dell’ecocardiografia fetale richiedono un insieme unico di abilità e conoscenze avanzate. Il cuore fetale, infatti, è di piccole dimensioni e di natura molto dinamica.
L’ecocardiografia fetale viene eseguita come un’ecografia classica transaddominale: la paziente viene fatta sdraiare sul lettino e viene impiegata la macchina a ultrasuoni, formata da un computer e un trasduttore, un piccolo dispositivo portatile delle dimensioni di una saponetta in grado di fornire gli ultrasuoni. Durante l’esame diagnostico il Medico preme il trasduttore contro l’addome della paziente, spostandosi da un’area all’altra; perché gli ultrasuoni passino più agevolmente attraverso i tessuti, l’ecografista applicherà un gel sulla porzione di pelle interessata.
Indicazioni cliniche e limiti diagnostici
Le cardiopatie congenite sono le anomalie più frequenti alla nascita con una incidenza di circa 8 neonati su 1000. Sono la causa del 25% delle morti perinatali e del 50% della mortalità infantile secondaria a malformazioni congenite. Il riconoscimento in utero delle cardiopatie è molto importante perché permette di pianificare il parto in strutture idonee nonché di programmare già gli accertamenti e le cure eventualmente necessarie dopo la nascita.
Una cardiopatia fetale può inoltre essere associata a sindromi genetiche o cromosomiche e pertanto un suo riscontro in epoca prenatale può indicare l’utilità ad eseguire indagini genetiche mirate. I fattori di rischio sono molti e vi saranno indicati dal ginecologo. I più frequenti sono materni: come il diabete pregestazionale, l’assunzione di alcuni farmaci in gravidanza o durante il concepimento, la familiarità per cardiopatie congenite, alcune infezioni e le gravidanze ottenute da fecondazione in vitro.
Esistono poi fattori fetali come la translucenza nucale aumentata, il ritardo di crescita, presenza di altre anomalie del feto, aritmie e la gemellarità monocoriale. Costituisce inoltre una causa frequente di indicazione all’ecocardiografia la mancata visualizzazione ottimale del cuore fetale durante l’ecografia di screening del secondo trimestre. Può essere eseguita anche in gravidanze a basso rischio in quanto l’ecografia di screening del secondo trimestre (ecografia morfologica) identifica meno della metà delle cardiopatie congenite.
Si ritiene che tale esame sia in grado di individuare in condizioni ideali l’80-85% delle cardiopatie fetali maggiori e quindi solo una parte sono identificate. L’esame è soggetto alle limitazioni comuni a tutte le indagini diagnostiche che impiegano gli ultrasuoni: la possibilità di individuare una anomalia cardiaca non è sempre correlata alla sua gravità anatomica ma dipende dalla più o meno evidente alterazione dell’immagine ecografica che essa induce. Non sempre perciò è possibile raggiungere questi risultati diagnostici per una difficoltà nell’ottenere una buona visualizzazione del cuore del feto dovuta a cause materne (eccessivo spessore del pannicolo adiposo, cicatrici da chirurgia addominale, presenza di miomi uterini) o della gravidanza (posizione fetale sfavorevole, liquido amniotico ridotto, presenza di 2 o più gemelli).
Inoltre, alcuni difetti cardiaci possono non essere evidenziati in utero:
- Per le loro ridotte dimensioni (difetti del setto interventricolare, anomalie parziali del ritorno venoso polmonare, anomalie del circolo coronarico);
- Perché consistono nella non chiusura di tratti vascolari che nel feto sono normalmente aperti (es. mancata chiusura del dotto di Botallo, difetti del setto interatriale);
- Per la loro evolutività, per cui possono non risultare evidenziabili a 20-22 settimane ma svilupparsi in epoche successive della vita intrauterina o rendersi manifesti solo dopo la nascita (es. coartazione aortica, cardiomiopatia).
Procedura e tempistiche operative
L’esame viene generalmente effettuato nel secondo trimestre, tra la 18° e la 22° settimana di gestazione, dopo l’ecografia morfologica di routine. Qualora ve ne sia l’indicazione da parte del medico specialista, l’esame può essere effettuato anche in epoca gestazionale più avanzata. In casi di rischio particolare, l’esame può essere effettuato anche in epoca gestazionale più precoce (13-14 settimane).
Per eseguire l'ecocardiogramma fetale, la gestante viene fatta stendere sul lettino ecocardiografico in posizione supina. Il medico appoggia poi una sonda ecocardiografica sull'addome della donna in punti specifici, in base alla posizione del feto in utero. L'ecocardiografia fetale non prevede alcuna particolare norma di preparazione da parte della gestante. Mediamente l’esame dura 20 minuti. In alcuni casi la posizione favorevole del feto permette di svolgere l’esame in tempi più brevi. Una posizione non ottimale del feto può portare ad un allungamento della durata dell’esame o alla effettuazione di un ulteriore tentativo nel corso della stessa seduta o anche nel giorno/i successivo/i. Al termine dell’esame mi sarà consegnato il referto con le immagini rilevanti.
Il processo diagnostico si articola attraverso passaggi tecnici precisi:
- Il medico appoggia e guida una sonda ecografica sull’addome della mamma e ricerca le scansioni idonee allo studio del cuore fetale.
- Sono ricercate i ritorni delle vene al cuore, la connessione tra atri e ventricoli e tra ventricoli e l’aorta e la polmonare e i loro rapporti spaziali.
- Mediante il color doppler vengono poi indagate le modalità e la direzione del flusso nelle cavità cardiache e misurate le velocità con il Doppler spettrale ove necessario.
- Se ritenuto utile il cuore verrà anche analizzato in modo tridimensionale (4D Cardio STIC).
L’ecocolordoppler è una strumentazione in cui viene coniugata la tecnologia delle normali ecografie a quella del Doppler continuo o pulsato: questa combinazione permette di elaborare immagini a colori che evidenziano il passaggio del flusso sanguigno. Gli esami di diagnostica prenatale e di screening fetale sono effettuati per mezzo di apparecchiature elettromedicali moderne con una tecnologia avanzata che permette di ottenere referti precisi ed accurati.

Il percorso verso la nascita è dunque un cammino che unisce l'emozione pura dell'ascolto del battito alla necessaria oggettività della scienza medica. Dall'uso dei fetal doppler portatili, che offrono conforto e rassicurazione quotidiana, fino alla rigorosa analisi strutturale condotta dagli esperti in cardiologia fetale, ogni passaggio ha lo scopo di garantire la massima salute possibile per il nascituro. La collaborazione costante con il proprio ginecologo rimane l'elemento cardine, trasformando il monitoraggio del battito non solo in un controllo clinico, ma in un atto consapevole di accoglienza e protezione verso la nuova vita che si sta formando.