La scoperta di una gravidanza è l'inizio di un viaggio straordinario, costellato di attese, emozioni e momenti significativi. Tra questi, l'ascolto del battito fetale è, senza dubbio, uno dei più emozionanti e significativi della gravidanza. Per i futuri genitori, quel suono dal ritmo rapido e regolare non è solo un parametro medico, ma la conferma concreta della nuova vita che sta crescendo. Fin da quando si scopre che il test di gravidanza è positivo, è frequente chiedersi: quando sarà possibile sentire il battito cardiaco del feto? Questo articolo esplora in dettaglio l'evoluzione del battito cardiaco fetale, le sue dimensioni, le tecniche di monitoraggio e le implicazioni di un battito lento o assente, offrendo una guida completa per comprendere questo delicato e affascinante percorso.

La Scoperta della Gravidanza e i Primi Indizi
Il percorso inizia con la conferma della gravidanza. È possibile eseguire il test di gravidanza già il primo giorno dopo la mancata mestruazione, utilizzando preferibilmente la prima urina del mattino. Se il test è positivo, raramente si tratta di un errore, offrendo una prima, solida conferma. Un risultato negativo, tuttavia, è meno affidabile, quindi, in mancanza di mestruazioni, deve essere ripetuto dopo qualche giorno.
L'Incredibile Sviluppo del Cuore Fetale
Il cuore del feto compie un percorso di sviluppo straordinariamente complesso e rapido, un vero e proprio prodigio della natura. Questo processo avviene nelle primissime fasi della gestazione, un periodo in cui la vita si manifesta con una velocità sorprendente. Inizia a formarsi come una semplice struttura tubolare tra la terza e la quarta settimana di gestazione, un primordiale abbozzo che getta le basi per l'organo vitale per eccellenza.
Già intorno alla quinta settimana, questo cuore primordiale comincia a battere in modo regolare, sebbene in modo ancora debole e difficile da rilevare. Entro l'ottava settimana, lo sviluppo strutturale del cuore è in gran parte completo, con la formazione delle quattro camere cardiache (atri e ventricoli) che lo caratterizzeranno per tutta la vita. Questo rapido sviluppo è un indicatore cruciale della vitalità embrionale. Uno studio dell’Università di Leeds pubblicato su «Nature» nel 2017 ci accompagna in un vero e proprio viaggio alla scoperta delle trasformazioni nella struttura del cuore, dalla 12^ alla 20^ settimana, spiegandoci come ciò modifichi anche l’intensità del battito fetale. Infatti, proprio nel periodo dalla 12^ alla 20^ settimana l’organizzazione del cuore presenta i cambiamenti più evidenti, le cellule si “specializzano”, si organizzano e iniziano a comunicare tra loro, ed è questo l’evento cruciale che spiega l’aumento della frequenza cardiaca e il battito fetale più vigoroso.

Rilevazione del Battito Cardiaco: La Prima Ecografia
La possibilità di rilevare il battito cardiaco del feto dipende strettamente dall'epoca gestazionale e dalla tecnologia utilizzata. Non tutti gli strumenti sono efficaci nelle stesse settimane, poiché il segnale emesso dal piccolo cuore diventa più forte e più facile da captare con il passare del tempo. L'ecografia a 6 settimane rappresenta una tappa importante, offrendo le prime conferme sulla vitalità del feto. Questo esame diagnostico non invasivo utilizza onde sonore ad alta frequenza per creare un'immagine del feto all'interno dell'utero.
L'Ecografia Transvaginale: Una Finestra Sulla Vita
Se alla prima ecografia, si effettua un’ecografia transvaginale, è possibile visualizzare l'attività cardiaca, descritta come un "sfarfallio", già intorno alla sesta settimana di gravidanza, quando l'embrione misura pochi millimetri. A 6 settimane, la tecnica ecografica più efficace per rilevare il battito cardiaco è proprio l'ecografia transvaginale. Questa procedura prevede l'inserimento delicato di una sonda ecografica nella vagina, avvicinandosi così all'utero e migliorando la qualità dell'immagine. Grazie alla sua maggiore precisione, l'ecografia transvaginale permette di visualizzare il battito cardiaco anche quando è ancora molto debole. Il battito cardiaco, inteso come movimento ritmico, diventa generalmente visibile con l'ecografia tra la 6ª e la 7ª settimana.
L'ecografia transvaginale è una procedura sicura e generalmente ben tollerata. Tuttavia, alcune donne possono provare un leggero disagio durante l'inserimento della sonda. Per affrontarla con maggiore serenità, è consigliabile svuotare la vescica prima dell'esame per migliorare la visualizzazione dell'utero. È utile anche cercare di rilassare i muscoli pelvici durante l'inserimento della sonda e informare l'operatore di eventuali fastidi o dolori.
Il Battito a 6 Settimane: Un Segnale Vitale
Il battito cardiaco fetale è uno dei primi segni tangibili della vita in crescita. La sua rilevazione precoce è un momento di grande gioia e sollievo per i futuri genitori. La frequenza cardiaca fetale (FCF) a 6 settimane si aggira normalmente tra i 100 e i 120 battiti al minuto (bpm). Questo valore aumenta gradualmente nelle settimane successive.
Ecco i valori medi di riferimento per la frequenza cardiaca fetale (espressi in battiti per minuto - bpm):
- 5-6 settimane di gravidanza: 110 bpm
- 9-10 settimane: 170 bpm
- 14 settimane: 150 bpm
- 20 settimane: 140 bpm
- Terzo trimestre: 130 bpm
Nel secondo e terzo trimestre, una frequenza cardiaca fetale normale è generalmente compresa in un range tra 110 e 160 bpm. Variazioni momentanee all'interno di questo intervallo sono del tutto normali e possono dipendere dai cicli di sonno e veglia del feto o dai suoi movimenti. Il cuore del feto batte a 100-110 bpm intorno alla 6^ settimana ed è possibile rilevarne l’attività attraverso l’ecografia transvaginale. Nelle due settimane successive la frequenza del battito fetale raggiunge valori compresi tra i 130-160 bpm. Talvolta può capitare di non riuscire a sentire il battito immediatamente, oppure di osservare per un breve periodo una frequenza di 10-15 battiti in più o in meno. Si tratta di situazioni del tutto normali e transitorie, per cui niente paura!
Do you know how is the Heart Formation In Embryo? heart formation embryology animation
Battito Lento o Assente Nelle Prime Fasi: Comprendere le Implicazioni
Un battito cardiaco lento (bradicardia) o assente a 6 settimane può essere motivo di preoccupazione. Tuttavia, è importante considerare diversi fattori prima di trarre conclusioni affrettate.
Cause e Considerazioni in Caso di Bradicardia Precoce
Il cuoricino dell'embrione può battere lentamente senza che questo sia per forza un brutto segno. Come nel caso di Manuela, una ragazza di 25 anni, che il 23 giugno ha fatto una visita ginecologica dove l’embrione misurava 1,29 cm e il battito cardiaco era presente, ma un po’ lento rispetto alla norma. Il battito dell'embrione può essere lento (anche se non è una regola fissa) fino a verso l'ottava settimana. A mia volta, in risposta alla sua domanda se avesse speranze, direi di sì.
Il battito lento, o bradicardia fetale, può essere determinato da molteplici fattori. L'eventuale bradicardia fetale non è automaticamente segno di esito sfavorevole della gravidanza. Un errore nel calcolo dell'età gestazionale può portare a interpretazioni errate; se l'ecografia viene eseguita troppo presto, il battito cardiaco potrebbe non essere ancora rilevabile. Inoltre, la qualità dell'apparecchiatura ecografica e l'esperienza dell'operatore possono influenzare la capacità di rilevare il battito cardiaco.
L'Importanza del Controllo Ecografico di Follow-up
Se il battito cardiaco è lento o assente, il medico può raccomandare un'ecografia di controllo a distanza di una settimana per valutare l'evoluzione della situazione. Effettuare un secondo controllo a una decina di giorni di distanza dal primo è l'unico modo per sapere se la gravidanza è in evoluzione. Come ha sottolineato il Dottor Claudio Castagna, solo il trascorrere dei giorni permette di stabilire se una gravidanza proseguirà o no. L'attesa è dunque necessaria (anche se ansiogena).
Quando l'Assenza di Battito è Preoccupante
In alcuni casi, un battito cardiaco assente può indicare un aborto spontaneo precoce. L'ipotesi più plausibile, quando in ottava settimana l'ecografia non individua l'attività cardiaca dell'embrione, è che la gravidanza si sia interrotta. È fondamentale discutere apertamente con il proprio medico per comprendere appieno i risultati dell'ecografia e le possibili implicazioni. Una volta individuato l'embrione con l'ecografia, il valore delle beta non è più rilevante. E l'eventuale bradicardia fetale non è automaticamente segno di esito sfavorevole della gravidanza. Nel caso di Susy, che chiedeva se in caso di battito lento a 7 settimane la beta aumenta, è importante sapere che una volta individuato l'embrione con l'ecografia, il valore delle beta non è più rilevante.

La Crescita del Feto e Altre Tappe Fondamentali
La gravidanza è un periodo di crescita e sviluppo rapidissimo per il feto, durante il quale il suo corpo subisce trasformazioni incredibili. Accanto al battito cardiaco, le dimensioni e il peso sono indicatori cruciali del benessere fetale.
Dimensioni e Peso del Feto Settimana Dopo Settimana
Nelle prime settimane, il feto è minuscolo, ma la sua crescita è esponenziale. Il bambino cresce rapidamente. Il bimbo raggiunge gli 85 mm e pesa circa 100 grammi in un periodo che segna il superamento delle prime fasi critiche. Alla 22a settimana il bimbo pesa circa 500 grammi. Alla 30a settimana il bimbo pesa circa 1400 grammi. Alla 40a settimana il bambino è lungo circa 50 cm. Queste misure sono fondamentali per monitorare l'accrescimento. Il CRL (Crown-Rump Length) è la misurazione della lunghezza dell'embrione dalla sommità del capo all'estremità inferiore, escludendo gli arti. Questa misurazione è utilizzata per determinare l'età gestazionale con maggiore precisione. Il primo esame va fatto fra l'8a e la 12a settimana ed ha lo scopo principale di ottenere l'epoca gestazionale in base al CRL. La variabilità delle misure fetali va ad aumentare dall'inizio alla fine della gravidanza e quindi la misura del CRL alla 12a settimana dà, con buona approssimazione, l'epoca gestazionale. Questo serve anche per confronti successivi.
Sviluppo degli Organi e Primi Movimenti
Durante queste prime fasi di rapido accrescimento procede la formazione di occhi, bocca, orecchie, mani e piedi, cuore, polmoni, reni, fegato ed intestino. A 20 settimane la mamma avverte i primi movimenti fetali. Prima di quel momento, il bambino si muove ma i suoi movimenti non possono ancora essere avvertiti dalla mamma. Il bambino deglutisce piccole quantità di liquido amniotico ed urina nel sacco amniotico. Può avere il singhiozzo e si succhia spesso il pollice. Già in questa fase, può gradire la musica e può distinguere la luce dal buio, mostrando i primi segni di interazione con il mondo esterno. All'inizio del nono mese il feto intensifica i movimenti simil-respiratori anche se non c'è aria nei suoi polmoni, un'importante preparazione alla vita fuori dall'utero. È importante controllare che il feto si muova (minimo 10 movimenti dalla mattina alla sera ma solitamente sono molti di più).
La Vitalità Fetale e il Parto Prematuro
Dopo la 24a settimana il bambino è "vitale", cioè ha probabilità di sopravvivenza in caso di parto prematuro. Questo è un traguardo fondamentale nella gravidanza, che segna un punto di non ritorno per la speranza di vita del nascituro. Il bambino può mettersi già in posizione (a testa in giù). Tuttavia, se fosse in presentazione podalica, potrebbe sempre girarsi entro le ultime settimane di gestazione, un evento naturale che spesso risolve la situazione senza necessità di interventi esterni.

Monitoraggio del Benessere Fetale: Tecniche e Significato
Il monitoraggio del benessere fetale consiste nel modo con cui cerchiamo di comprendere, dall'esterno, come sta il nostro piccolo paziente all'interno dell'utero, seguendolo nella sua evoluzione e cioè dalle primissime fasi del suo sviluppo fino a termine, avvalendoci di tecniche e metodiche talora molto sofisticate. L'obiettivo principale del monitoraggio del benessere fetale è quello di prevenire la morte in utero o un danno permanente del feto.
L'Importanza del Monitoraggio
Il monitoraggio del battito fetale è senz’altro molto utile. La frequenza cardiaca del feto viene solitamente monitorata durante il travaglio e il parto. Tenere traccia della frequenza cardiaca fetale dice ai medici come il bambino stia gestendo le contrazioni e se sia necessario un intervento medico. Le gestanti che lavorano devono redigere il certificato di astensione obbligatoria dal lavoro e farlo firmare dal proprio ginecologo. Se la gravidanza procede senza complicazioni i controlli ostetrici vanno effettuati ogni mese. Nelle fasi più avanzate, i controlli ostetrici si fanno quindicinali o settimanali.
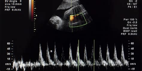
Cardiotocografia (CTG): Monitoraggio Continuo
La cardiotocografia (CTG) è un esame non invasivo che registra la frequenza cardiaca fetale e le contrazioni uterine. Questo esame è utilizzato principalmente durante il travaglio di parto per monitorare il benessere del feto e valutare la sua risposta alle contrazioni. Tuttavia, in alcune situazioni, la CTG può essere utilizzata anche durante la gravidanza per valutare la vitalità fetale. Il monitoraggio esterno della frequenza cardiaca fetale viene in genere utilizzato durante il travaglio e il parto di gravidanze a basso rischio ed è chiamato cardiotocografia (CTG).
La cardiotocografia è il rilevamento dell'attività cardiaca fetale e della contrazione uterina mediante trasduttori. L'apparecchio ad ultrasuoni è basato sull'effetto Doppler per il rilevamento della frequenza cardiaca fetale (FCF), mentre il tocografo si basa su variazioni di pressione tramite un sistema meccanico e non con ultrasuoni, per il rilevamento delle contrazioni uterine. I segnali elaborati vengono presentati su una striscia di carta come tracciato continuo della FCF e del tono uterino. La frequenza cardiaca: si va a vedere la linea di base, cioè la linea ideale che taglia a metà le varie oscillazioni. Essa dà la frequenza cardiaca di base e la si trova fra le due linee che indicano 120 e 160 se si tratta di un feto a termine, ma è maggiore se il feto è prematuro.
La Variabilità del Battito: Un Indicatore Cruciale
La differenza fra una rivoluzione cardiaca e la successiva (differenza fra un battito ed il successivo) è detta "variabilità a breve termine". Nel feto non c'è una frequenza fissa, ma essa si aggiusta in base a stimoli provenienti dal sistema nervoso centrale, in base ad informazioni derivanti dai chemocettori e dai barocettori. La variabilità è l'elemento forse più importante per la valutazione del benessere fetale: un battito non più variabile indica un grave stato di sofferenza neurologica del feto, mentre tanto maggiore è la variabilità, tanto meglio sta il bambino. Poiché tutto ciò è sotto controllo centrale (simpatico e parasimpatico), nel momento in cui si viene a perdere il controllo sulla frequenza da parte delle strutture ipotalamiche, è segno che queste sono in sofferenza. La perdita della variabilità è quindi strettamente correlata alla sofferenza ipossica delle strutture centrali superiori, in quanto la frequenza è legata al livello dell'ossigenazione centrale. La variabilità è stata quantificata: è tale se supera 5 battiti al minuto; normalmente oscilla sui 15 battiti al minuto.
Accelerazioni e Decelerazioni
Le accelerazioni corrispondono di solito ai movimenti fetali e si accompagnano sul tracciato a delle righe, che sono dovute allo schiacciamento di un pulsante da parte della donna quando avverte i movimenti del feto. Le decelerazioni sono variazioni in basso della frequenza, caratteristiche del travaglio e definite in base al rapporto con le contrazioni uterine. Se sono assolutamente speculari alle contrazioni, cioè iniziano e terminano contemporaneamente, sono dovute ad un riflesso vagale per compressione della testa del feto e sono dette "precoci" o "Dip 1". Le decelerazioni sfasate rispetto alla contrazione sono dette "tardive" o "variabili" o "Dip 2" quando iniziano dopo la contrazione. Le decelerazioni tardive sono dovute ad insufficienza placentare, quelle variabili a compressione sul funicolo ombelicale (entrambe sono quindi espressione di ipossia cerebrale). L'interpretazione del tracciato cardiotocografico, come abbiamo visto, varia a seconda se questo viene effettuato durante il travaglio o durante le ultime 4 settimane di gravidanza. In travaglio si dà più importanza alle decelerazioni e si valuta se sono sfasate rispetto alle contrazioni uterine; fuori travaglio si dà importanza alla variabilità ed alle accelerazioni, invece le decelerazioni sono sempre considerate patologiche.
Le contrazioni uterine riducono l'ossigenazione e, se il bambino è già in uno stato di sofferenza fetale cronica, si vede che, con la contrazione, si scompensa (sofferenza fetale acuta). Su questo principio si basa la prova con ossitocina: si somministra ossitocina, che determina una contrazione uterina e conseguentemente ipossia fetale acuta. Si fa contemporaneamente una registrazione cardiotocografica, che evidenzia una diminuzione della frequenza cardiaca.

Flussimetria Doppler: Studio dell'Emodinamica
La flussimetria è la determinazione del flusso del sangue in un vaso. La tecnica flussimetrica Doppler è una metodica utile per lo studio dell'emodinamica fetale, feto-placentare ed utero-placentare. Alterazioni dell'emodinamica in questi distretti possono essere in grado di mettere in evidenza una sofferenza fetale cronica. Con la flussimetria si valuta il rapporto fra sistole e diastole e sono stati proposti vari indici, che dovrebbero rispecchiare il grado di distensibilità del vaso e quindi dare un'idea delle resistenze periferiche. Questi indici vanno a diminuire con il passare delle settimane, mentre si mantengono abbastanza costanti nell'aorta. Esistono due tipi di apparecchi: il "Doppler continuo" ed il "Doppler pulsato". Un meccanismo fondamentale di difesa del feto in situazioni di ipossia è la cosiddetta "centralizzazione del circolo", cioè la riduzione del circolo nel distretto corporeo "meno nobile" nel tentativo di mantenere un circolo più o meno normale a livello cardiaco e cerebrale. In caso di sofferenza fetale, si deve ricercare questo segno tramite la flussimetria, che evidenzia la riduzione del circolo nell'aorta discendente.
Altri Parametri di Valutazione: Profilo Biofisico, pH Fetale, Amnioscopia
Il monitoraggio del benessere fetale può includere anche altri esami. L'ecocardiografia fetale, un esame ecografico più dettagliato che studia l'anatomia e la funzionalità del cuore del bambino durante la gravidanza, è generalmente raccomandata se ci sono fattori di rischio specifici, come una storia familiare di cardiopatie congenite o anomalie riscontrate durante l'ecografia di routine.
Il rilevamento del pH fetale si esegue in travaglio, quando si hanno dei dubbi con la cardiotocografia. Il sangue per la determinazione del pH (che in caso di acidosi è circa 7.15) viene prelevato dalla testa del bambino. L'acidosi può essere sia respiratoria, perché diminuisce la pressione di ossigeno ed aumenta quella di anidride carbonica trattandosi di ipossia respiratoria del feto, sia metabolica, perché il feto attiva la glicolisi anaerobia.
L'amnioscopia serve a valutare il colore del liquido amniotico contenuto nella borsa al davanti della parte presentata: questo esame presuppone un certo grado di dilatazione del collo dell'utero. Tramite l'amnioscopia si evidenzia l'emissione del meconio. Il liquido amniotico, nel feto a termine, è formato in gran parte dalle urine fetali. In caso di centralizzazione del circolo diminuisce la minzione e si ha la riduzione del liquido amniotico.
Con il profilo biofisico (valutazione di tali parametri di motricità) si hanno delle risposte più immediate, rispetto all'ecografia, sullo stato di benessere del feto. Esistono anche dei parametri accessori, che sono: movimenti di espansione della gabbia toracica (presenti nella veglia), svuotamento della vescica (anche questo può essere presente nel periodo di veglia), suzione (presente nel sonno e non nella veglia). L'osservazione si fa in un tempo di 30 minuti e si dà un punteggio da 0 a 2 per ognuno dei parametri indicati, così che il massimo punteggio raggiungibile è 10.
Studi condotti su neonati a termine e pretermine hanno consentito di identificare, con l'osservazione prolungata del comportamento neonatale, una serie di parametri che permettono di valutare l'integrità neurologica di un neonato: questi "stati di comportamento neonatali" vengono definiti in base alla coincidenza di tono muscolare, motilità oculare, tracciato elettroencefalografico, frequenza cardiaca, stato di sonno-veglia, pianto. Il meccanismo maturativo del feto non viene modificato nella sua evoluzione dal "momento" del parto, ma prosegue nelle sue tappe sia in utero che fuori. Dopo la 36a settimana di gravidanza, il feto presenta una alternanza dei 4 stati comportamentali (tono muscolare, respiro - dato dai movimenti diaframmatici -, movimenti oculari, movimenti fini degli arti), testimonianza della maturazione del sistema nervoso centrale che finisce nel primo anno di vita, con un livello di stabilità ed una percentuale di coincidenza elevati. La coincidenza è valutata su periodi di 3 minuti. In condizioni di ipossia cerebrale, il feto perde successivamente, in ordine inverso, questi parametri che aveva acquisito.
Ecografie e Controlli Periodici: Un Percorso di Cura
Un monitoraggio attento e regolare è fondamentale per garantire il benessere della madre e del feto durante tutta la gravidanza. I controlli ostetrici, supportati da esami ecografici, delineano un percorso di cura personalizzato.
Il Calendario delle Ecografie Fondamentali
L'ecografia a 6 settimane, oltre a rilevare il battito cardiaco, permette di:
- Confermare la gravidanza: Accertare la presenza di una camera gestazionale nell'utero.
- Verificare la vitalità del feto: Rilevare l'attività cardiaca.
- Determinare l'età gestazionale: Misurare le dimensioni del sacco gestazionale e del feto.
- Escludere gravidanze ectopiche: Assicurarsi che l'impianto sia avvenuto correttamente all'interno dell'utero.
- Valutare la presenza di gravidanze multiple: Identificare la presenza di più feti.
L'ecografia a 6 settimane fornisce anche altre informazioni preziose sulla gravidanza, tra cui:
- La Camera Gestazionale: La prima struttura visibile all'interno dell'utero durante la gravidanza. La sua presenza conferma l'impianto dell'embrione e fornisce un'indicazione sull'età gestazionale.
- Il Sacco Vitelino: Una struttura che fornisce nutrimento all'embrione nelle prime settimane di gravidanza. La sua presenza e le sue dimensioni sono indicatori importanti della salute embrionale.
Valutare il luogo di inserzione della placenta ha senso in genere solo dopo la 20a settimana, perché prima la placenta tende a spostarsi verso l'alto via via che l'utero cresce.
L'Ecografia Biometrica: Monitoraggio dell'Accrescimento
Il terzo esame va fatto alla 32a settimana ed il suo scopo principale è quello di valutare l'accrescimento del feto (ecografia biometrica). L'apparecchio ha un sistema che permette di fissare l'immagine: sullo schermo compaiono delle crocette che sono messe nei punti da misurare e l'apparecchio dà la misura; per misurare la circonferenza si fa il giro con la crocetta e l'apparecchio indica la misura. In base alle misure si vede se un feto si accresce regolarmente oppure se ci sono dei difetti di crescita. La velocità di accrescimento, infatti, è uguale per tutti, in quanto va incontro a deviazioni minime, ma parte da un presupposto genetico diverso da soggetto a soggetto.
Dopo l'ecografia a 6 settimane, è importante discutere i risultati con il proprio medico. In base alle informazioni ottenute, il medico potrà fornire consigli personalizzati e pianificare i successivi controlli prenatali. È fondamentale seguire attentamente le indicazioni del medico e non esitare a porre domande o esprimere preoccupazioni.
Strumenti per l'Ascolto del Battito: Angel Sound e Uso Responsabile
È un desiderio comune per i partner cercare di sentire il battito appoggiando l'orecchio sul pancione. Tuttavia, è estremamente improbabile riuscirci. Negli ultimi anni, non solo la diagnostica prenatale è diventata sempre più sofisticata ma è possibile approfondire meglio le situazioni considerate più a rischio o da tenere sotto controllo.
Angel Sound: Tra Rassicurazione e Potenziale Ansia
La grande emozione che accompagna i giorni e le settimane in attesa del parto, necessita di continue conferme, di quei segnali che vogliono dire “va tutto bene”. Anche per questo hanno avuto un enorme riscontro alcuni strumenti portatili chiamati fetal doppler, che consentono di ascoltare il battito cardiaco fetale sfruttando gli ultrasuoni. Alessia, una ragazza che ho seguito per una consulenza genetica prenatale durante la sua seconda gestazione, mi ha raccontato che si sente più sicura se ha la possibilità di ascoltare il battito cardiaco del suo bambino perché l’esperienza della cardiopatia congenita del suo primo figlio, scoperta in gravidanza, l’aveva profondamente segnata.
Tuttavia, ascoltare il battito fetale non è pericoloso se fatto durante i controlli ecografici o con dispositivi approvati e utilizzati correttamente. Utilizzare strumenti casalinghi, come doppler fetali per uso domestico o app per smartphone che promettono di far ascoltare il battito cardiaco a casa, è sconsigliato da medici e professionisti sanitari. I fetal doppler sono strumenti validi, ma vanno presi con il beneficio del dubbio, consapevoli del fatto che il loro funzionamento dipende da caso a caso: alcune mamme riescono ad ascoltare il battito già intorno alla 12^ settimana, altre no; non esiste una regola precisa, anche perché non parliamo di doppler professionali, come quelli in dotazione ai medici. Il pericolo principale non risiede tanto in un danno fisico diretto, quanto nel rischio di generare ansia superflua legata alla scorretta interpretazione del valore o all’incapacità di percepire il battito. La rilevazione del battito cardiaco fetale è un'abilità che richiede competenza e esperienza, e l'interpretazione dei risultati dovrebbe essere affidata a professionisti sanitari qualificati.
Percezione Materna dei Movimenti Fetali
È possibile, come nel caso dei movimenti fetali, sentire il battito fetale, senza l’aiuto di strumenti? In effetti è possibile, in particolare dopo la 23^ settimana, quando il feto sarà in grado di percepire i suoni e le voci, che imparerà a riconoscere, rispondendo con i movimenti.
Dalla Bradicardia alla Sofferenza Fetale: Rischi e Interventi
Quando la frequenza cardiaca è al di fuori dei valori considerati normali, quindi oltre i 10-15 battiti in più o in meno di cui abbiamo già parlato, è fondamentale valutare se l’evento è transitorio o se si tratta di un’anomalia nel battito fetale.
Fattori di Rischio e Aritmie
Le aritmie sono tra le più comuni anomalie del battito fetale, e si manifestano principalmente con tachicardia e bradicardia. I fattori che possono determinare bradicardia fetale sono molteplici e richiedono un'attenta valutazione medica.
Bradicardia Durante il Travaglio: Implicazioni e Gestione
Se l’equipe medica che assiste la gestante non riesce a riconoscere che la frequenza cardiaca fetale è troppo bassa, oppure, pur avendo rilevato il problema non agisce tempestivamente, il feto potrebbe soffrire di gravi problemi di salute. Una frequenza cardiaca fetale bassa indica una possibile diminuzione/mancanza di ossigeno nel cervello del feto. Il monitoraggio del cuore fetale interno è molto diverso dal monitoraggio esterno. Questo metodo viene in genere utilizzato per le gravidanze ad alto rischio e per quelle gestanti che hanno iniziato con il monitoraggio esterno ma non sono riuscite a ottenere letture corrette con quel metodo. Il monitoraggio interno utilizza un elettrodo a filo sottile che è attaccato al cuoio capelluto fetale attraverso la cervice della madre.
Se l’equipe medica che assiste al parto omette di monitorare correttamente la frequenza cardiaca fetale, potrebbero verificarsi gravi conseguenze. Le lesioni alla nascita che derivano dalla bradicardia durante il travaglio e il parto possono essere devastanti per le famiglie.
Do you know how is the Heart Formation In Embryo? heart formation embryology animation
Aspetti Psicologici ed Emotivi della Gravidanza
L'attesa di un bambino è un viaggio emozionante e pieno di scoperte, ma anche un periodo di grandi cambiamenti emotivi e psicologici. Elisa, incinta di qualche settimana, dice emozionata: «Eccolo! L’ho sentito!», mentre ascolta per la prima volta il battito cardiaco della sua bambina durante una visita ostetrica. Esiste un momento più emozionante e carico di aspettative come questo?
Il Viaggio Emozionante della Genitorialità
È importante che i futuri genitori si sentano supportati e informati durante tutto il percorso. La comunicazione aperta con il proprio medico, la partecipazione a corsi preparto e il supporto di amici e familiari possono contribuire a ridurre l'ansia e a prepararsi al meglio all'arrivo del bambino. Il battito cardiaco era presente, ma un po’ lento rispetto alla norma. Direi quindi di non stare in ansia (non farebbe bene né a lei né al suo piccolino) ma di attendere con fiducia la prossima ecografia di controllo quando ogni dubbio verrà dissipato.
L'Importanza del Supporto e dell'Informazione
Un lutto perinatale non è una pratica da archiviare, un episodio di cui è sufficiente non parlare più per dimenticarsene, e non è più o meno duro da affrontare in base alla settimana di gestazione. Nel caso in cui la gravidanza si interrompa, è sempre consigliabile intraprendere indagini volte a identificare la presenza di un eventuale sbilanciamento cromosomico. La gestione della gravidanza richiede un approccio multidisciplinare che coinvolga diversi professionisti sanitari, tra cui ginecologi, ostetriche, radiologi e, in alcuni casi, cardiologi pediatrici. La collaborazione tra questi specialisti garantisce un monitoraggio completo e personalizzato della salute della madre e del bambino, ottimizzando le possibilità di un esito positivo della gravidanza.
Il Futuro della Medicina Prenatale e Questioni Etiche
La ricerca scientifica nel campo della medicina prenatale è in continua evoluzione. Nuove tecniche ecografiche e nuovi marcatori biochimici vengono costantemente sviluppati per migliorare la diagnosi precoce delle anomalie fetali e per ottimizzare la gestione della gravidanza.
Innovazione e Ricerca: Nuove Frontiere
L'innovazione tecnologica e la ricerca scientifica offrono nuove speranze e nuove opportunità per garantire la salute e il benessere dei futuri genitori e dei loro bambini. Il futuro della medicina prenatale è promettente. Grazie ai progressi della genomica, della proteomica e della bioinformatica, sarà possibile identificare sempre più precocemente i fattori di rischio genetici e ambientali che possono influenzare la salute del feto.
Considerazioni Legali ed Etiche nella Diagnosi Prenatale
La medicina prenatale solleva importanti questioni legali ed etiche. La diagnosi prenatale di anomalie fetali può portare a decisioni difficili e complesse, che richiedono un'attenta valutazione dei valori personali, delle credenze religiose e delle implicazioni legali. È fondamentale che i futuri genitori siano pienamente informati sulle opzioni disponibili e che ricevano un supporto adeguato per prendere decisioni consapevoli e responsabili.
tags: #battito #embrione #lento #e #dimensioni