La gravidanza è un viaggio straordinario, e una delle domande più comuni delle future mamme durante le prime visite ginecologiche riguarda quanto dovrebbe crescere il feto ogni settimana. I genitori desiderano conoscere come si sta sviluppando il loro piccolo, e il peso e la lunghezza rappresentano indicazioni molto richieste. Le stime di questi valori vengono elaborate attraverso formule precise e vengono poi confrontati con i valori medi, settimana per settimana, per vedere con quale percentuale cresce il feto. È necessario avere a disposizione un metro di paragone per definire se la crescita sta seguendo la norma oppure se compaiono dei campanelli di allarme. A tale scopo sono state studiate e messe a punto le tabelle di crescita fetale, che permettono di valutare se la lunghezza del feto, il suo peso e in generale le sue misure sono adeguate alla settimana di gestazione oppure se è necessario procedere con ulteriori approfondimenti.
Nel corso del primo e durante l’inizio del secondo trimestre di gravidanza, tra le dimensioni del feto si valuta principalmente la lunghezza vertice-sacro (lunghezza cefalo-rachidiana, in inglese Crown-Rump Length, CRL). Questa misurazione è di fondamentale importanza per datare in maniera piuttosto precisa la gravidanza, un aspetto cruciale nell'ottica della diagnostica prenatale. Sebbene la terminologia "LVS" non sia standardizzata nella biometria fetale, è ampiamente riconosciuto che la "Lunghezza Vertice-Sacro" (CRL) è la misurazione primaria per la lunghezza del feto nelle prime fasi della gestazione. Pertanto, nel contesto di una misurazione di 6mm, ci si riferisce quasi certamente alla CRL.

La Biometria Fetale: Uno Sguardo Dettagliato sullo Sviluppo Intrauterino
La biometria fetale è una componente fondamentale dell'assistenza prenatale che prevede la misurazione delle dimensioni e della crescita di un feto durante la gravidanza. Attraverso l'uso degli ultrasuoni, la biometria fetale fornisce preziose informazioni sullo sviluppo del bambino e aiuta gli operatori sanitari a valutare se il feto sta crescendo a un ritmo sano. Questo processo si riferisce alla misurazione di varie parti del feto mediante ultrasuoni durante la gravidanza per valutare la crescita fetale. Queste misurazioni includono le dimensioni della testa, dell'addome e del femore (osso della coscia) del bambino e vengono utilizzate per stimare il peso del bambino e valutare lo sviluppo complessivo.
La biometria fetale viene solitamente eseguita durante le ecografie prenatali di routine, in particolare durante il secondo e il terzo trimestre di gravidanza, ma alcune misurazioni, come la CRL, sono cruciali già nel primo trimestre. La diagnosi precoce delle problematiche che possono insorgere durante la gravidanza o i primi mesi di vita è fondamentale per la prevenzione di fattori che influenzano la mortalità e la morbilità perinatale, una delle principali sfide globali dell’Organizzazione Mondiale della Sanità. Conoscere le dimensioni del feto è molto importante perché questi parametri consentono di datare in maniera piuttosto precisa la gravidanza.
Biometria fetale e i marcatori ecografici - Gianluigi Pilu
La Lunghezza Vertice-Sacro (CRL): Misurazione Fondamentale nel Primo Trimestre
Nel corso della gravidanza iniziale, la lunghezza vertice-sacro (CRL) è il valore principale che viene misurato. Questa misurazione consiste nella rilevazione della distanza dalla sommità della testa (corona) alla base del sedere (groppa) del bambino, ovvero dalla testa fino all’osso sacro. La lunghezza del feto viene rilevata durante la valutazione ecografica dallo specialista ginecologo.
Nel primo trimestre, la CRL è la misurazione più comunemente utilizzata per stimare l'età gestazionale. Le prime otto settimane della gravidanza rappresentano la fase dell’embriogenesi, un’epoca molto delicata, in quanto, in questo periodo, si sviluppano i rudimenti di quasi tutti gli organi vitali, come il cuore. Fino all’ottava settimana circa, lo zigote, la prima cellula che si forma dall’incontro dei due gameti provenienti da mamma e papà, va incontro a una rapida crescita formando l’embrione, che si sviluppa ulteriormente dando luogo a un organismo più complesso. Solo a partire dalla nona settimana di gestazione, si inizia a parlare di feto, momento in cui il suo sviluppo consiste nell'insieme di fenomeni che permettono l’accrescimento e l’organizzazione delle strutture che formeranno il corpo del neonato.

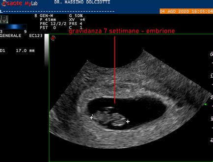
A Che Età Gestazionale Corrisponde una CRL di 6mm?
Comprendere a quale età gestazionale corrisponda una Lunghezza Vertice-Sacro (CRL) di 6mm è fondamentale per le future mamme e per gli specialisti, poiché permette di posizionare correttamente la gravidanza nel suo inizio. Sulla base delle tabelle di crescita fetale standardizzate, una CRL di 6mm corrisponde generalmente a un'età gestazionale di circa 6 settimane e 2-3 giorni. Questa è una fase molto precoce dello sviluppo embrionale, in cui il piccolo è ancora un embrione.
In questa fase, sebbene le fattezze siano ancora abbozzate, i rudimenti di quasi tutti gli organi vitali cominciano a svilupparsi. Già all'ottava settimana, per esempio, la lunghezza del feto è di circa un centimetro (10mm) e lo sviluppo del cuore è già completo, con la presenza di occhi, naso e bocca. Una misurazione di 6mm indica che si è ancora un po' prima di questo stadio, con un embrione in rapida evoluzione ma ancora molto piccolo. È importante sottolineare che queste stime sono indicative e l'andamento complessivo della crescita è sempre più rilevante del singolo valore misurato in un preciso momento. I ginecologi si confrontano con tabelle che riportano l’andamento di crescita in percentili proprio per avere un quadro completo e dinamico dello sviluppo.
L'Evoluzione della Crescita Fetale Nelle Diverse Fasi della Gravidanza
La crescita del feto non è uniforme e varia in base all’età gestazionale. Durante tutta la gravidanza, nel corso delle ecografie, verranno tenute sotto controllo le misure del feto e sarà calcolata la lunghezza del femore, un indicatore di salute molto importante.
Nei primi mesi (dal terzo al quinto) la crescita del feto risulta accentuata in lunghezza, guadagnando circa 5 cm al mese. Anche le proporzioni, in particolare quella tra la testa e il corpo del nascituro, si modificano nelle varie fasi di gravidanza. La nona-decima settimana, ad esempio, vede la testa crescere più rapidamente del resto del corpo, dovendo accogliere il cervello.
Alla fine del primo trimestre, generalmente tra la 9^ e la 12^ settimana, tutti gli organi e gli arti sono presenti e continueranno a svilupparsi fino a diventare funzionali. In questo momento il feto inizia a muoversi ed esplorare ciò che lo circonda aprendo e chiudendo la bocca e i pugni, anche se la mamma non può ancora percepirne i movimenti.
Intorno alla decima settimana, il volto comincia ad assumere la sua fisionomia, gli occhi tendono ad accentrarsi e le orecchie ad assumere la loro posizione ai lati del capo. Alla dodicesima settimana, è possibile distinguere i genitali esterni, quindi conoscere il sesso del nascituro, e sono facilmente identificabili gli arti e le dita.
Entro la fine del quarto mese, il feto è lungo circa 15 cm e pesa poco più di 100 grammi. Durante il quinto mese, iniziano a crescere sulla testa i primi capelli e la cute è ricoperta di una fine peluria, la lanugine, che serve, insieme alla vernice caseosa (sostanza bianca e uniforme), a proteggere la pelle ancora molto sottile. Intorno alla diciottesima-ventesima settimana, è possibile distinguere una fine peluria sulla cute e cominciano a essere riconoscibili sopracciglia e capelli. La cute si presenta sottile e rugosa perché non è ancora ben sviluppato il tessuto sottocutaneo. La madre inizia a percepire le classiche “scosse”, ovvero i movimenti spontanei del feto, in modo sempre più chiaro perché iniziano a svilupparsi i muscoli (anche prima della diciottesima settimana nelle gravidanze successive alla prima).
Al sesto mese, le palpebre iniziano a schiudersi e gli occhi si aprono. Il sistema uditivo permette al feto di sentire i suoni, a cui risponde muovendosi e aumentando la frequenza cardiaca. La mamma può notare delle scosse più vigorose del solito, dovute al singhiozzo del piccolo. Alla ventiquattresima settimana, avviene un processo molto importante per la nascita e la sopravvivenza, cioè la produzione all’interno degli alveoli polmonari di una sostanza chiamata surfattante, che consentirà, dopo il primo respiro, che i polmoni rimangano ben espansi e che ci sia un buon adattamento alla vita extrauterina.

Negli ultimi due mesi di gestazione è l’aumento del peso fetale a essere privilegiato, con circa 700 grammi al mese. Il terzo trimestre, a partire dalla ventottesima settimana, è la fase conclusiva della gravidanza, il momento di sviluppo finale che aiuta il feto a prepararsi per la nascita. In questi ultimi mesi il bambino prende peso velocemente e, grazie all’accumulo del grasso sottocutaneo, assume un aspetto più tondeggiante. Alla ventottesima settimana, gli occhi del feto diventano sensibili alla luce (il riconoscimento di forma e colori verrà maturato dopo la nascita). Dalla ventottesima settimana in poi, grazie all’accumulo del grasso sottocutaneo, il feto assume un aspetto più tondeggiante. Il cervello matura in fretta e il feto ormai vede e sente. Durante l’ultimo mese, tra la 37^ e la 40^ settimana, il travaglio potrebbe iniziare in qualsiasi momento e i movimenti fetali potrebbero ridursi, dato il poco spazio rimasto (ma questa diminuzione non avviene sempre). In questa fase la posizione fetale potrebbe cambiare per prepararsi al parto, posizionandosi idealmente con la testa in basso, verso l’utero.
Indicatori Biometrici Chiave e il loro Significato
La biometria fetale comporta diverse misurazioni chiave, ciascuna delle quali fornisce informazioni importanti sullo sviluppo del bambino. Oltre alla Lunghezza Corona-Groppa (CRL) che abbiamo già esplorato, particolarmente rilevante nel primo trimestre, altri parametri vengono monitorati durante il secondo e terzo trimestre.
Queste misurazioni includono:
- Diametro Biparietale (BPD): Questa misurazione è la distanza tra i due lati della testa del bambino e viene presa a livello del talamo. Un grafico dell’andamento del diametro biparietale (BPD) nel primo trimestre, come quello del gruppo di Yves Ville pubblicato nel 2003, può essere utilizzato per il monitoraggio.
- Circonferenza della Testa (HC): Questa è la circonferenza della testa del bambino, un altro indicatore della crescita cerebrale e cranica.
- Circonferenza Addominale (AC): La misurazione della circonferenza addominale del bambino aiuta a valutare la crescita fetale e la funzionalità della placenta.
- Lunghezza del Femore (FL): La lunghezza del femore (osso della coscia) del bambino viene misurata per valutare lo sviluppo scheletrico. Come accennato in precedenza, la lunghezza del femore è un indicatore di salute molto importante e, in modo semplificato, moltiplicando per 7 la lunghezza del femore si può anche fare una stima della lunghezza del feto. A partire da 14 settimane esistono parametri per le varie parti del corpo, e un riferimento in questo campo è lo studio di Snijders e Nicolaides, pubblicato nel 1994.
I valori individuati per questi parametri vengono riportati nelle tabelle e corrispondono a un percentile di crescita, fornendo un quadro più completo della salute fetale.
I Percentili di Crescita: Un Contesto per Valutare lo Sviluppo
I percentili del bambino sono valori statistici, utilizzati dai pediatri per misurare la crescita dei bambini. Esistono anche tabelle dei percentili del feto per seguire il suo sviluppo durante la gravidanza. Le curve di crescita (o percentili) sono uno strumento prezioso anche per monitorare il benessere e il corretto sviluppo del feto nei mesi dell'attesa. “Le carte di crescita sono il frutto di uno studio che ha preso in considerazione un vastissimo campione, si parla infatti di 60mila future mamme e 20mila neonati di otto nazioni diverse”, spiega Andrea Dotta, responsabile dell'Unità di Terapia Intensiva Neonatale dell'Ospedale pediatrico Bambino Gesù di Roma.
Per leggere correttamente le cifre riportate in tabella è importante tenere a mente che non conta il singolo valore misurato ma l’andamento complessivo della crescita. Per questo motivo i ginecologi si confrontano con tabelle che riportano l’andamento di crescita in percentili. È chiaro che un bambino figlio di genitori alti tende ad essere sopra la media, quello che importa è se la crescita è costante e corretta. Nelle curve di crescita pre e post natali i valori che rientrano tra il 3° e il 97° percentile sono considerati normali. L'importante è che il bambino, indipendentemente dal percentile in cui si trova, mantenga un aumento di peso e altezza costante e regolare e che la curva generata nel corso del tempo non evidenzi alti e bassi rilevanti. Esistono diverse tabelle dei percentili di riferimento per etnia e per area geografica.
I risultati della biometria fetale vengono utilizzati per valutare la crescita e lo sviluppo del bambino in relazione all'età gestazionale. Le misurazioni vengono solitamente confrontate con grafici di crescita standardizzati per determinare se il feto sta crescendo come previsto:
- Crescita normale: Se le misurazioni fetali rientrano nell'intervallo normale per l'età gestazionale, è un'indicazione che il bambino sta crescendo bene e si sta sviluppando a un ritmo sano.
- Restrizione della crescita intrauterina (IUGR): Se le misure del bambino scendono al di sotto dell'intervallo previsto per l'età gestazionale, potrebbe indicare che il feto non sta crescendo correttamente. Ciò potrebbe essere causato da problemi con la placenta o condizioni di salute materne. “Diagnosticare tempestivamente un problema di iposviluppo del feto è molto importante”, spiega Dotta.
- Grandi per l'età gestazionale (LGA): D'altro canto, se le misure fetali sono più grandi del previsto per l'età gestazionale, potrebbe indicare che il bambino sta crescendo troppo. La macrosomia, ad esempio, può essere associata a condizioni come il diabete gestazionale.

L'Importanza della Datazione Precisa e lo Screening delle Complicazioni
Misurazioni accurate del feto aiutano a stimare l'età gestazionale, in particolare quando la data esatta del concepimento è sconosciuta. Le misurazioni della biometria fetale, in particolare la lunghezza vertice-sacro e il diametro biparietale, possono aiutare a stimare l'età gestazionale del bambino, rendendo possibile una pianificazione più accurata della consegna.
La biometria fetale viene utilizzata per lo screening di complicazioni quali la restrizione della crescita intrauterina (IUGR) o la macrosomia (grande per l'età gestazionale). Se il tuo bambino è più piccolo del previsto, potrebbe indicare una restrizione della crescita intrauterina (IUGR), una condizione in cui il bambino non cresce correttamente. Se il tuo bambino misura più del previsto, potrebbe indicare macrosomia. Una datazione precisa della gravidanza è fondamentale nell'ottica della diagnostica prenatale.
Una volta identificata una situazione di ritardo nello sviluppo, è fondamentale monitorare con attenzione la crescita nelle settimane successive e studiare l’anatomia, la circolazione a livello dei vasi ombelicali e dell’arteria cerebrale fetale, il contenuto del liquido amniotico. La biometria fetale è un metodo altamente accurato per valutare la crescita e lo sviluppo fetale, ma non viene utilizzata per prevedere la data esatta del parto.
Preparazione e Sicurezza dell'Ecografia Biometrica
La biometria fetale è solitamente eseguita tramite un esame ecografico. Le onde ultrasoniche vengono utilizzate per creare immagini del feto nell'utero, che vengono poi analizzate da un operatore sanitario per prendere le misure necessarie. Prepararsi per un'ecografia biometrica fetale è semplice e non invasiva.
Prima della procedura, a seconda del tipo di ecografia eseguita, alla madre potrebbe essere chiesto di bere acqua o di non svuotare la vescica per garantire una migliore imaging. Durante l'ecografia, il tecnico utilizzerà un trasduttore (un piccolo dispositivo) per inviare e ricevere onde sonore. Queste onde rimbalzano sul bambino e creano un'immagine su uno schermo. È una procedura sicura e non invasiva, eseguita utilizzando la tecnologia a ultrasuoni, che non comporta alcun danno per la madre o il bambino. La frequenza delle scansioni biometriche fetali dipende dalla gravidanza e dagli eventuali rischi associati.
Biometria fetale e i marcatori ecografici - Gianluigi Pilu
Sfide e Interpretazioni Particolari nella Crescita Fetale
Tuttavia, non tutti i casi al di sotto del decimo percentile sono da considerarsi patologici. Alcuni feti, infatti, sono costituzionalmente più piccoli, e dunque non è necessario ricorrere a un intervento medico; il ginecologo sarà in grado di fare questa distinzione. Qualora si confermi un ritardo dello sviluppo fetale, si devono escludere le cause patologiche più frequenti. Inoltre, bisogna identificare eventuali problematiche fetali legate all’anatomia anomala (malformazioni fetali) o cause genetiche (alterazioni cromosomiche). Altre cause di crescita fetale lenta possono essere le infezioni o la sindrome da anticorpi antifosfolipidi. Se si hanno dubbi sui risultati della biometria fetale, è sempre consigliabile parlarne con il proprio medico.
Oltre la Semplice Misurazione: Stima del Peso Fetale e Aspetti Relativi al Sesso
Sapere esattamente le dimensioni del bambino che sta crescendo nell’utero materno è impossibile. Si può, però, fare una stima di massima del peso del feto utilizzando le misure rilevate dall’ecografo. Va sottolineato che si tratta di una stima, cioè di un dato ipotetico in quanto l’apparecchio ecografico non è dotato di bilancia. Avere un’idea di massima circa il peso del feto nelle varie epoche della gravidanza non serve certo solo per tranquillizzare la mamma, attraverso la conferma che il suo piccino sta crescendo, ma è un parametro clinico cruciale.
Esistono varie formule per stimare il peso del bambino. Si basano su alcune misure rilevate dall’ecografia e possono essere applicate dai calcolatori attivi in rete. È comunque d’obbligo tenere presente che la valutazione del peso fetale e, allo stesso modo, il risultato che si ottiene applicando la formula è solo ed esclusivamente indicativa, quindi non precisa.
Una domanda che si pongono spesso le gestanti è: dalla lunghezza del feto si può capire se è maschio o femmina? Seppure esistano studi che valutano l’andamento della crescita dei feti maschi e dei feti femmine nel corso delle settimane, non si può arrivare a capire il sesso del nascituro a partire dalla lunghezza del feto. Come accennato in precedenza, la determinazione del sesso attraverso l'ecografia è possibile generalmente a partire dalla dodicesima settimana, quando i genitali esterni sono sufficientemente sviluppati per essere distinti.
tags: #a #che #eta #gestazionale #corisponde #lvs