La fecondazione in vitro (FIV) rappresenta un percorso complesso, sia dal punto di vista medico che emotivo. Quando i tentativi non portano al risultato sperato, è naturale interrogarsi sulla qualità degli embrioni prodotti in laboratorio. La valutazione della qualità embrionale è una disciplina scientifica che si evolve costantemente per offrire risposte sempre più precise alle coppie che affrontano questo percorso.

Comprendere la qualità e la classificazione degli embrioni
Nei processi di FIV-ICSI, la fecondazione degli ovociti avviene in laboratorio, e da quel momento inizia la coltivazione degli embrioni per alcuni giorni. È comune che si ottenga più di un embrione; pertanto, la loro classificazione aiuta a scegliere quali tra quelli in coltura abbiano più probabilità di impiantarsi e di dare origine a una gravidanza.
Gli embriologi valutano la qualità embrionale analizzando diverse caratteristiche morfologiche (forma e aspetto) e l'evoluzione temporale durante la permanenza in incubatrice. Esistono principalmente due metodi per questa analisi: la valutazione diretta al microscopio, che richiede la rimozione temporanea dell'embrione dall'incubatore, e l'utilizzo di sistemi time-lapse (come l'Embryoscope), che permettono di ottenere immagini ogni pochi minuti senza stressare l'embrione con variazioni di temperatura e gas.
Lo sviluppo embrionale: dal primo giorno allo stadio di blastocisti
Il percorso dell'embrione in laboratorio è scandito da tappe ben precise. La valutazione degli embrioni richiede che si tenga conto delle diverse caratteristiche della loro morfologia in giorni specifici.
Il primo giorno: lo zigote
Il giorno dopo la fecondazione (giorno 0) si deve confermare la comparsa dello zigote. A questo stadio si osserva la presenza di due pronuclei (uno maschile e uno femminile) e di due globuli polari. Se si osservano 1 o 3 pronuclei, l'embrione viene generalmente scartato, poiché ciò indica che la dotazione genetica non è adeguata.
Giorni 2 e 3: la fase di segmentazione
Due giorni dopo l'inizio dello sviluppo, l'embrione è composto solitamente da 4 cellule (blastomeri). Al terzo giorno, l'ideale è raggiungere le 7-8 cellule. In queste fasi, gli embriologi prestano attenzione a:
- Simmetria: le cellule devono avere dimensioni simili.
- Frammentazione: la presenza di piccoli frammenti citoplasmatici derivanti da divisioni anomale.
- Multinucleazione: la presenza di più di un nucleo per cellula, segno di errori di divisione.
Il giorno 4: la morula
Il quarto giorno si verifica la compattazione, un processo in cui le cellule formano legami stretti tra loro, assumendo l'aspetto di una mora. È una fase che offre meno informazioni morfologiche, poiché le cellule diventano difficili da contare, ma è fondamentale per verificare la capacità di coesione dell'embrione.
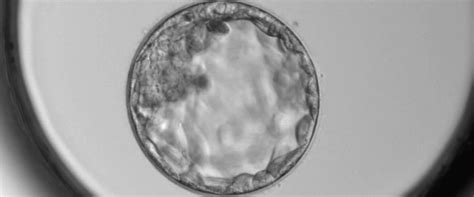
Giorni 5 e 6: la blastocisti
Questo è l'ultimo stadio di sviluppo in laboratorio prima dell'impianto. La blastocisti è composta da due strutture chiave: la massa cellulare interna (che darà origine al feto) e il trofoectoderma (che formerà la placenta).
L'impianto dell'embrione - Animazione
Parametri di valutazione: il sistema di Gardner e oltre
Per classificare le blastocisti, gli embriologi utilizzano spesso il sistema proposto da Gardner, che si basa su tre parametri:
- Grado di espansione (da 1 a 6): indica quanto la blastocisti è cresciuta e quanto la zona pellucida è diventata sottile.
- Massa cellulare interna (MCI): valutata con lettere da A a C, dove A indica numerose cellule ben organizzate.
- Trofoblasto (TE): anch'esso valutato da A a C, riflette la capacità di formare una placenta sana.
Un esempio di classificazione eccellente è il grado "3AA". Va sottolineato che l'Associazione per lo Studio della Biologia della Riproduzione (ASEBIR) ha proposto classificazioni che danno maggiore peso alla morfologia del trofoectoderma, riconoscendo l'importanza cruciale della placenta per il successo della gravidanza.
Fattori biologici e limiti della morfologia
Sebbene la classificazione morfologica sia uno strumento fondamentale, non è una scienza esatta. È importante comprendere che la valutazione visiva riflette il grado di sviluppo, ma non garantisce l'assenza di anomalie cromosomiche. Circa il 60% degli aborti spontanei, anche in gestazioni fisiologiche, è dovuto ad anomalie embrionali.
La sfida dell'età e la qualità ovocitaria
Superati i 40 anni, la qualità degli ovociti può subire un calo fisiologico. La facilità di produrre ovociti non è sempre direttamente proporzionale alla loro competenza genetica. Gli embrioni che si bloccano precocemente in coltura spesso indicano un limite intrinseco della qualità dei gameti (ovociti o spermatozoi) o un'incapacità dell'embrione di attivare correttamente il proprio genoma.
Diagnosi Genetica Preimpianto (PGT-A)
Nei casi in cui si osservi un'incapacità ripetuta di ottenere embrioni di buona qualità o fallimenti di impianto, la PGT-A rappresenta un'opzione per determinare se l'embrione sia euploide (con un numero normale di cromosomi) o aneuploide. Tuttavia, la PGT-A è una tecnica invasiva che richiede che l'embrione raggiunga lo stadio di blastocisti per poter effettuare la biopsia delle cellule del trofoectoderma.
Considerazioni sul fallimento di impianto
Si definisce fallimento di impianto quando, dopo tre o più cicli in cui sono stati trasferiti embrioni di buona qualità, non si è raggiunta la gravidanza. In tali circostanze, le indagini devono estendersi non solo alla qualità embrionaria (causa embrionale), ma anche alla ricettività endometriale. Il test ERA (Endometrial Receptivity Analysis) può aiutare a identificare la "finestra di impianto" ottimale, ovvero il momento preciso in cui l'endometrio è pronto ad accogliere l'embrione.
La scelta tra riprovare o esplorare percorsi alternativi (come la donazione di gameti) è profondamente personale. La medicina della riproduzione moderna incoraggia un approccio individualizzato, dove il medico e l'embriologo lavorano insieme per analizzare lo storico dei cicli precedenti, cercando di identificare schemi specifici nei blocchi di sviluppo embrionale, con l'obiettivo finale di massimizzare le possibilità di successo in un contesto di massima sicurezza e benessere per la paziente.